Nóng gan nổi mụn nên uống gì?
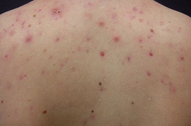
Nóng gan nổi mụn nên uống gì là câu hỏi quen thuộc khi da mặt bắt đầu xuất hiện mụn do nội tiết và chức năng gan suy yếu. Gan quá tải sẽ ảnh hưởng đến việc đào thải độc tố, dẫn đến tích tụ dưới da. Bài viết sẽ giúp bạn chọn đúng loại nước uống giúp giải nhiệt gan, làm mát cơ thể và hỗ trợ cải thiện tình trạng mụn từ bên trong.
Nóng gan nổi mụn nên uống gì?
Câu hỏi “nóng gan nổi mụn nên uống gì” được nhiều người tìm kiếm khi cảm thấy da xấu đi dù đã chăm sóc bên ngoài. Gan là cơ quan đào thải độc tố chính của cơ thể. Khi hoạt động của gan yếu đi, độc tố dễ tích tụ và biểu hiện ra ngoài da như mụn, ngứa, nổi mề đay.
Để cải thiện tình trạng này, bạn nên bổ sung các loại nước có khả năng làm mát gan, lợi tiểu và hỗ trợ giải độc.
Các loại nước nên uống khi bị nóng gan nổi mụn
1. Nước atiso
Atiso giúp mát gan, lợi mật và hỗ trợ làm sạch gan hiệu quả. Có thể dùng nước sắc từ hoa atiso tươi hoặc dạng túi lọc đều được.
2. Nước rau má
Rau má có tính mát, kháng viêm, thường dùng để thanh nhiệt, giải độc và làm dịu mụn từ bên trong. Không nên uống quá nhiều mỗi ngày để tránh lạnh bụng.
3. Nước sâm bí đao
Là thức uống truyền thống giúp giải nhiệt, mát gan. Có thể nấu cùng la hán quả và mía lau để tăng hiệu quả thanh lọc.
4. Nước râu ngô, mã đề
Hai loại thảo dược này giúp lợi tiểu nhẹ, hỗ trợ thải độc qua đường nước tiểu. Thích hợp uống hàng ngày khi bị nổi mụn do nóng gan.
5. Trà xanh hoặc trà hoa cúc
Trà xanh giúp chống oxy hóa, hỗ trợ gan, trong khi trà hoa cúc giúp làm dịu tinh thần và thanh lọc cơ thể nhẹ nhàng.

Nóng gan nổi mụn nên kiêng gì?
Bên cạnh việc tìm hiểu nóng gan nổi mụn nên uống gì, bạn cũng cần biết những thứ nên tránh:
-
Thức ăn nhiều dầu mỡ, cay nóng
-
Rượu bia, cà phê và nước ngọt có gas
-
Thức khuya, stress kéo dài
-
Mỹ phẩm chứa corticoid hoặc không phù hợp với da
Việc kết hợp chế độ ăn, sinh hoạt lành mạnh và bổ sung đúng loại nước uống sẽ giúp cải thiện làn da rõ rệt.
Sản phẩm hỗ trợ giải độc gan từ thảo dược
Nếu tình trạng nóng gan nổi mụn kéo dài, bạn có thể kết hợp sử dụng sản phẩm hỗ trợ như SIVIBE – viên uống thảo dược giúp tăng cường chức năng gan và làm mát cơ thể từ bên trong.
Thành phần:
-
Cà gai leo, Diệp hạ châu, Kim ngân hoa: hỗ trợ giải độc gan
-
Liên kiều, Nhân trần, Xạ đen, An xoa: kháng viêm, giảm mụn, giảm mẩn ngứa
-
Nấm linh chi: tăng sức đề kháng, bảo vệ tế bào gan
Công dụng:
-
Thanh lọc gan, giảm nóng gan
-
Hỗ trợ cải thiện tình trạng nổi mụn, ngứa, mề đay
-
Bảo vệ gan khỏi tác động của rượu bia, thuốc và thực phẩm kém chất lượng
-
An toàn nếu dùng lâu dài
Kết luận
Nóng gan nổi mụn nên uống gì? Hãy ưu tiên các loại nước mát như atiso, rau má, sâm bí đao, trà thảo mộc… để hỗ trợ gan và làm dịu làn da. Kết hợp lối sống lành mạnh và sử dụng thêm sản phẩm như SIVIBE sẽ giúp kiểm soát tình trạng mụn do nóng gan hiệu quả hơn. Đừng chỉ chăm sóc da từ bên ngoài – hãy thanh lọc từ bên trong để làn da khỏe mạnh thật sự.
Xem thêm sản phẩm của Kisho Việt Nam: tại đây
Liên hệ với chúng tôi
- Zalo OA: KISHO
- Facebook: Kisho Việt Nam – Giải Pháp Đông Y Toàn Diện
- Hotline: 098 396 95 96
- Địa chỉ: Số 7 Đường Số 6, Khu phố 4, Phường Hiệp Bình Chánh, Thành phố Thủ Đức, Thành phố Hồ Chí Minh
Liên hệ ngay để được tư vấn miễn phí và đặt lịch khám nhanh nhất!
